밀크커피색반점의 새로운 치료 방식
S&U
2016-12-28 16:16
2056

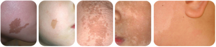
밀크커피색반점, 치료가 어려운 난치성 갈색 반점 중에 대표적이죠.
다양한 레이저를 사용하여 치료를 해보면 좋은 결과를 보이기도 하지만, 만족할 만한 결과가 나타나지 않는 경우도 있어 환자분들은 물론 피부과 의사에게도 많은 고민이 되는 질환입니다.
대개의 치료를 큐스위치 방식의 색소 전용 레이저를 사용해 왔습니다.
엔디야그, 루비, 알렉산드라이트 등이 대표적입니다.
고출력 에너지를 사용하여 레이저를 조사하면 그 부위에 딱지가 생겼다가 1주일 전후로 떨어져 나가며 흐려지게 되고, 이러한 과정을 반복해서 진행하게 됩니다.
이러한 방식의 단점은 우선 딱지가 생겨 일상생활에 불편하다는 점을 들 수 있습니다.
또한 치료 부위 색이 주변 부위보다 너무 빠져버리는 저색소반응,
오히려 치료전보다 더 진해져 버리는 과색소반응,
두 가지가 섞여 얼룩덜룩해지는 경우,
또 색소가 없어진 것 같아도 시간이 지나면 다시 재발하는 문제를 들 수 있습니다.
최근에는 밀크커피색반점을 비롯한 난치성 갈색 반점에 저출력 에너지 방식을 이용한 새로운 치료를 도입하여 치료중입니다. 이 역시 100% 완치는 아닙니다만, 기존의 치료 방식을 보완할 수 있다는 점에서 의미가 있겠습니다.
저출력 방식의 가장 큰 장점은 시술후 딱지가 생기지 않아 바로 일상생활 하는데 큰 지장이 없다는 것입니다. 또한 통증이 크지 않아 마취연고 없이 시술 받은 아이들도 있을 정도로 소아에게 레이저 치료의 두려움과 통증을 줄일 수 있는 장점이 있습니다.
하지만 저출력 방식의 레이저는 매주 1회씩 기본 50회 이상 1년 넘게 치료해야 하므로 치료에 대한 믿음을 가지고 꾸준히 치료를 받아야 합니다.
다음 글에서는 저출력 방식으로 치료중인 밀크커피색 반점 사진을 보여드리며 더 설명 드리겠습니다.
마포공덕 에스앤유피부과 김병윤원장